Случай на закрит синуслифт

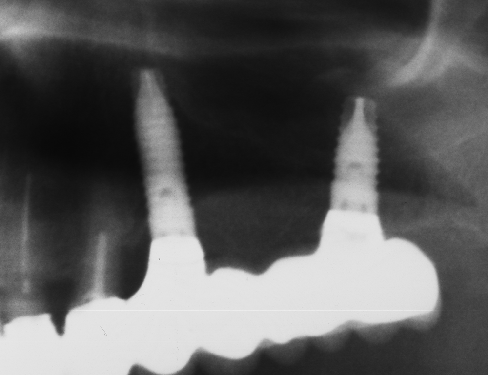
Случай на вертикален синуслифт със системата TBR - Франция, изработен през 2008 година