Циркониеви корони върху импланти

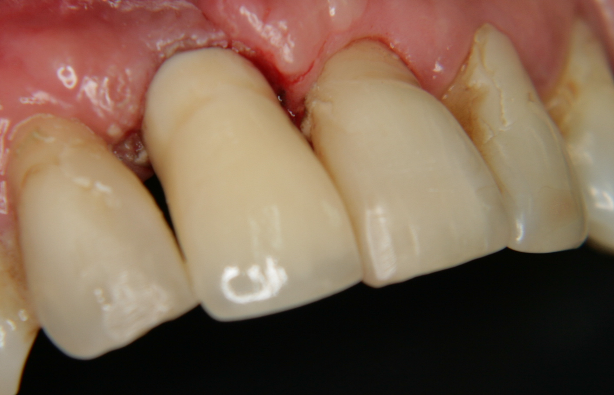
Горни фронтални зъби след протезиране върху имплантати. Изработени са циркониеви корони в областта на зъби 11, 12, 21 и 22. Случаят е завършен през 2006 година, когато нашият екип имаше на разположение само интраорална камера с ниска резолюция, която камера е причина за лошото качество на изображението. В края на 2013 година, около 7 години и шест месеца следоперативно пациентката се оплака от фрактуриране на режещия ръб на централния резец вляво. Поради това беше изработена нова циркониева корона на зъба; на снимките долу се вижда леко разраненият венец около новата корона. По това време вече разполагахме с макрообектив на Canon и рингова светкавица и качеството на изображенията е несравнимо по-добро. За периода от 7 години почти няма промяна в състоянието на прикрепената гингива - налице е леко изразен гингивит, който се наблюдава и при много пациенти с естествени зъби без никакви възстановявания. За основа за протезиране са използвани имплантати от системата TBR - Франция, които са поставени в областта на зъби 11, 12, 21, 22. 

По отношение на устната хигиена има какво да се желае - междузъбните пространства са изпълнени с плака 

www.ralev-dental.com    Начална страница    Зъбен имплант

Метална имплантатна надстройка - не винаги е добра основа за циркониева корона